Enfoque diagnóstico del nódulo pulmonar cavitado. Causas frecuentes e infrecuentes

Diagnostic Approach of the Cavitated Pulmonary Nodule. Frequent and Infrequent Causes


Recibido: 25/02/2022
Aceptado: 08/04/2022

Autores

Jairo Alberto Rojas Mancilla

Gabriel Felipe Padilla Vega

Departamento de Medicina Interna de la Facultad de Medicina de la Universidad Libre, sede Barranquilla.

Ernesto Santiago

Servicio de Neumología, Medicina Interna de la Clínica La Misericordia Internacional de Barranquilla.

Resumen

La presencia de nódulo cavitado en una imagen diagnóstica de tórax es un reto para el clínico, ya que su evaluación puede ser muy amplia e incluye diversas patologías: infecciosas, afecciones autoinmunes, neoplasias, entre otras posibles causas. En este artículo se expone el caso de un paciente adulto joven de sexo femenino de 24 años, quien consultó por un cuadro clínico agudo de tos, fiebre y disnea, con estudios de imágenes torácicas compatibles con áreas de consolidación en base derecha, nódulos múltiples con distribución predominante peribroncovascular, algunos de ellos cavitados, adenopatías mediastinales. Se descartó infección por micobacterias, infección por hongos, virus respiratorios, patología oncológica y hematológica. La biopsia de pulmón evidenció inflamación aguda y crónica severa, mediado por linfocitos y leucocitos polimorfonucleares, áreas de necrosis y formación de absceso, estudio negativo para granulomas o cambios malignos, se encontró aislamiento de Staphylococcus Aureus. El curso clínico y los hallazgos histopatológicos confirman el diagnóstico de neumonía severa con imágenes en tomografía de tórax de nódulo cavitado secundario a proceso infeccioso.

Palabras clave: nódulo pulmonar cavitado, adulto joven, neoplasia, Infecciones Estafilocócicas, diagnóstico

Abstract

The presence of a cavitated nodule in a diagnostic image of the thorax is a diagnostic challenge for the clinician since its clinical evaluation of differential diagnosis is of great amplitude, and includes various pathologies; Infectious, autoimmune conditions and neoplasms, among other possible causes. We present a case of a young adult female patient of 24 years old who consulted for an acute clinical picture of cough, fever and dyspnea, with thoracic imaging studies compatible with areas of consolidation in the right base, multiple nodules with predominant peribronchovascular distribution, some of them cavitated, mediastinal adenopathies. Mycobacterial infection, fungal infection, respiratory viruses, oncologic and hematologic pathology were ruled out. Lung biopsy showed severe acute and chronic inflammation, mediated by lymphocytes and polymorphonuclear leukocytes, areas of necrosis and abscess formation, negative study for granulomas or malignant changes, isolation of Staphylococcus Aureus was found. The clinical course and histopathological findings confirmed the diagnosis of severe pneumonia with chest CT images of cavitated nodules secondary to infectious process.

Keywords: Cavitated pulmonary nodule, Young adult, Neoplasia, Staphylococcal Infections, Diagnosis

Introducción

La presencia de nódulo cavitado en una imagen diagnóstica de tórax es un reto para el clínico, ya que su evaluación de diagnóstico diferencial es muy amplia e incluye diversas patologías, tales como infecciosas, afecciones autoinmunes, neoplasias, entre otras posibles causas. Según el glosario de Fleischer (1), una cavitación es un espacio lleno de gas, visto como un área de lucidez o baja atenuación, dentro de una consolidación pulmonar, una masa o un nódulo (1). Del mismo modo, se debe tener en cuenta que los nódulos pulmonares se definen como cualquier espacio redondo circunscrito, relativamente esférico, de 3 cm o menos, rodeado por lo menos en 2/3 de su circunferencia por aire (1). Teniendo en cuenta esto, es importante conocer que estos nódulos se pueden clasificar dependiendo del tiempo, la sintomatología y la imagen torácica previa visualizada. Adicionalmente, también se pueden clasificar en cavidades agudas y subagudas (menores de 12 semanas) y cavidades crónicas (mayores de 12 semanas).Con base en esto, una cavitación pulmonar menor de 12 semanas sugiere un probable proceso infeccioso agudo. Por otra parte, en las lesiones cavitadas pulmonares mayores de 12 semanas se pueden diagnosticar infecciones crónicas y también podemos sospechar de lesiones crónicas, como las afecciones autoinmunes o de malignidad como probables causas, teniendo en cuenta el estado inmune del paciente y sus posibles comorbilidades (2). Por consiguiente, el enfoque diagnóstico de la enfermedad pulmonar cavitaria obliga a analizar sus posibles etiologías, entre estas se incluye diversas enfermedades, lo cual conduce a un diagnóstico diferencial con manifestaciones clínicas variadas. Esto se demuestra en el reporte de la paciente del caso en estudio, en quien se documentan nódulos pulmonares cavitados sin una etiología clara y amerita su estudio con posibles diagnósticos diferenciales.

Descripción del caso

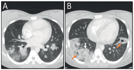
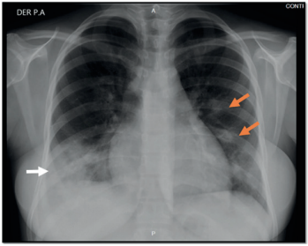
Mujer de 24 años de raza mestiza, procedente del municipio de Soledad, Atlántico, quien se dedica a labores del hogar. Consulta de urgencias por cuatro semanas de evolución con fiebre de patrón intermitente, asociado a tos húmeda con expectoración purulenta, dolor pleurítico derecho y disnea de esfuerzo que progresa hasta el reposo. Antecedentes de puerperio tardío de 37 días por parto vaginal (28/08/2019), con producto a término, con peso adecuado al nacer sin complicaciones. Cinco días previos a la consulta estuvo hospitalizada por la misma sintomatología actual y recibió terapia antimicrobiana parenteral; sin embargo, solicitó el retiro voluntario de dicha institución. Ingresó a una clínica de la ciudad de Barranquilla, con taquicardia, taquipnea y temperatura de 38,9 °C. En la exploración física se halló hipoventilación en bases pulmonares, crépitos generalizados con predominio basal derecho y sibilancias espiratorias ocasionales. En la analítica sanguínea presentó hemograma con leucocitosis y neutrofilia, anemia grado 3 OMS y elevación de reactantes de fase aguda (leucocitos: 22.090 x103/mm3, neutrófilos: 88,4 %, hemoglobina: 6,6 gr/dl, VCM: 81,7 dL., HCM: 26,3 pg., plaquetas: 188.000 x103/mm3, proteína C reactiva cuantitativa: 314 mg/L, VSG: 100 mm/hora, creatinina: 0,53 mg/dl), radiografía de tórax (figura 1). Con consolidado basal derecho y opacidades alveolares con distribución multilobar de predominio en hemitórax izquierdo, TC de tórax (figura 2). Con áreas de consolidación en base derecha, nódulos múltiples con distribución predominante peribroncovascular, algunos de ellos cavitados, adenopatías mediastinales. Se inició tratamiento antimicrobiano con piperacilina tazobactam más claritromicina y transfusión de hemoderivados y estudios de extensión. La valora el Servicio de Neumología, que en el diagnóstico diferencial considera neumonía bacteriana, micosis, micobacterias, enfermedades granulomatosas y malignidad. Los exámenes de control documentaron baciloscopia seriada. No se observan BAAR en 100 campos microscópicos. Anticuerpos para VIH: egativo, anticuerpos antinucleares: negativo, P-ANCA: negativo, C-ANCA negativo, complemento C3: 100 mg/dl (normal), complemento C4: 12 mg/dl (normal), gases de arteriales sin alteración del ácido base o trastorno de la oxigenación. PCR para Mycobacterium Tuberculosis (GeneXpert MYB-RIF) en muestra de esputo: negativo, hemocultivos negativos a los cinco días de incubación. TC de senos paranasales: normal. Por presentar deterioro clínico requirió ingreso a la Unidad de Cuidados Intensivos. Se inicia terapia tetraconjugada con RHZE por sospecha para Mycobacterium tuberculosis y se escalona terapia antimicrobiana con meropenem y vancomicina. El departamento de Cirugía del Tórax realiza videotoracoscopia en la que encuentra el pulmón atrapado. Se realiza decorticación pulmonar liberando el pulmón y lobectomía segmentaria del lóbulo inferior derecho. Se envía una muestra para estudio histopatológico. Después del control de fuente y el manejo antimicrobiano, la paciente mejora su patrón respiratorio y se le da la alta médica, con la recomendación de continuar el tratamiento antituberculoso. El estudio histopatológico del espécimen de segmento pulmonar del LID documenta inflamación aguda y crónica severa, mediado por linfocitos y leucocitos polimorfonucleares, áreas de necrosis y formación de absceso, estudio negativo para granulomas o cambios malignos, aislamiento de Staphylococcus Aureus. Finalmente, se suspende el tratamiento tetraconjugado.

Radiografía de Tórax en proyección PA

Tomografía computarizada de tórax

Discusión

Cabe resaltar que unas de las causas más frecuentes de nódulo pulmonar cavitado agudo y subagudo son las infecciones bacterianas, las cuales pueden alcanzar el parénquima pulmonar mediante la vía inhalatoria, evitando las defensas del huésped; o por medio del torrente sanguíneo, como émbolos sépticos pulmonares (3). En las neumonías necrotizantes y abscesos pulmonares con formación de nódulo cavitado no es típica la neumonía adquirida en la comunidad, pero se han reportado casos de neumonía cavitada, con hallazgos de Streptococcus pneumoniae (4) y Haemophilus influenzae (5); otro microorganismo implicado en la formación de nódulos cavitados en casos de neumonía grave es Klebsiella pneumoniae, principalmente en pacientes inmunosuprimidos (con factores de riesgo tales como alcoholismo y consumo de tabaco), y también en neumonía intrahospitalaria (6), y neumonía adquirida en la comunidad (7). Estos microorganismos fueron considerados como probables etiologías en el presente reporte de caso; ellos pueden originar nódulos cavitados pequeños, que van desde 1 mm hasta 3 cm, con posible progresión a gangrena pulmonar (8), la cual generalmentees causada por Klebsiella pneumoniae, iniciando como una consolidación pulmonar que progresa a pequeños nódulos cavitados y de acuerdo a la evolución, puede desarrollar una gran cavidad pulmonar (9). Otra causa infecciosa de nódulo cavitado es Staphylococcus aureus, casi siempre asociada a neumonía grave, como ocurrió en el paciente del caso actual; en este contexto, sendos estudios realizados en 1996 (10) y en 2005 (11), evidenciaron cavitaciones en radiografías de tórax causadas por este microorganismo, en casos de neumonía adquirida en la comunidad y neumonía intrahospitalaria; las neumonías graves también las pueden provocar embolismos sépticos pulmonares, que dan como resultado nódulos cavitados periféricos, detectables en radiografías (20-47 %) y en tomografía axial computarizada de pulmón (85 %) (11,12).

En el diagnóstico diferencial de nódulo pulmonar cavitado se pueden encontrar bacterias no comunes, por lo que en esta paciente se inició terapia de amplio espectro considerando otras posibles etiologías, tales como como Actinomyces, bacterias gram positivas que pueden provocar infección pulmonar con nódulo cavitado (13), generalmente en pacientes con mala higiene bucal y con alcoholismo crónico (14), y bacterias gram negativas como Burkholderia pseudomallei, que esendémica y se puede transmitir por tierra o aguas contaminadas (15), ella se manifiesta de forma pulmonar como nódulos cavitados en un 50 % (16). Otra posible causa infecciosa es Mycobacterium tuberculosis, que comúnmente se asocia a enfermedad pulmonar cavitaria (17) y es endémica en la región Caribe de Colombia donde diariamente se presentan nuevos casos (18); la tuberculosis se presenta subagudamente con semanas o meses de tos productiva, sudores nocturnos, pérdida de peso y en algunas ocasiones con hemoptisis; además, la radiografía de tórax puede manifestar eventualmente infiltrados pulmonares superiores del lóbulo superior, comúnmente asociados con nódulos cavitados (19); sin emnargo, la tomografía de tórax es más sensible para detectar nódulos cavitados de etiología tuberculosa (20); por esta razón, esta etiología también se sospechó en la paciente del caso y se inició manejo, pero se descartó con base en los estudios expuestos.

Así mismo, en esta paciente se consideró el proceso infeccioso de etiología micótica con base en que puede ser causa de nódulo pulmonar cavitado en los humanos.

En adelante se mencionan los hongos más relevantes para el diagnóstico diferencial en nódulo cavitado, que se deben tener en cuenta como posible etiología en los diversos escenarios y comorbilidades del paciente en estudio. Entre ellos está como subespecie Aspergillus fumigatus,cuya invasión patógena puede ser mediante diferentes mecanismos y ser causa de: 1. Aspergilosis broncopulmonar alérgica,en pacientes con asma de larga data. 2. Aspergiloma, principalmente en pacientes con preexistencia de cavidades pulmonares. 3. Aspergilosis necrotizante crónica o semi aspergilosis invasiva, se manifiesta en pacientes con antecedentes de enfermedad pulmonar crónica. 4. Aspergilosis invasiva, que afecta a huéspedes inmunocomprometidos y enfermos críticos (21). Estas condiciones se caracterizan por la formación de aspergilloma o miceloma, que representa el crecimiento de Aspergillus (generalmente A. fumigatus) (22); radiográficamenteun aspergiloma se presenta como una opacidad redonda dentro de una cavidad previamente existente, y en la tomografía computarizada se puede delinear con mayor precisión una masa y aire circundante, como nódulo cavitado (23); entre sus principales manifestaciones clínicas están hemoptisis y síntomas generales como fatiga, tos productiva, pérdida de peso y malestar general (24). Otro tipo de hongo común es Histoplasma capsulatum, que causa micosis endémica, ya que se encuentra a nivel del suelo y es altamente endémico en la región Caribe de Colombia (25); se manifiesta con síntomas generales inespecíficos: fiebre, escalofríos, dolor torácico y disnea, así como con un nódulo cavitado, en enfermedad aguda, crónica o en paciente joven inmunosuprimido (26), además, hay informe de manifestaciones radiográficas con nódulo cavitado en lóbulos pulmonares superiores, acompañado de infiltrados y engrosamiento pleural (27).

Otro microorganismo que se debe tener en cuenta es el hongo tipo levadura, Cryptococcus neoformans, porque es ubicuo y se encuentra principalmente en el suelo junto a excrementos de palomas. Su infección se da por inhalación de aerosoles del suelo y sus manifestaciones clínicas dependen del huésped, su sistema inmunológico y varios factores asociados, se manifiesta como infiltrados y nódulos pulmonares y en tomografía axial computarizadacomo nódulos y áreas de consolidación (28).

Ante la sospecha diagnóstica y la evaluación de posibles causas se indagó una etiología autoinmune (causas infrecuentes), en la que las manifestaciones extraarticulares pulmonares de la artritis reumatoide (AR) varían entre 10 y 20 %, fracción que incluye los nódulos pulmonares cavitados, los cuales son infrecuentes (29, 30), y predominan en hombres, con una relación 7:1 y tienen una aparición tardía en el curso de la enfermedad; imagenológicamente son bilaterales, periféricos y subpleurales, miden hasta 7 cm y cavitan en el 30 %; Dawson et al. (31), describieron los hallazgos pulmonares de 150 pacientes diagnosticados con AR, encontrando nódulos pulmonares en siete de ellos (4,6 %), en las tomografías de tórax de alta resolución. Así mismo, Tanaka et al. (32) describieron los hallazgos pulmonares en 63 pacientes con diagnóstico de AR, encontrando nódulos en 49 %; sin embargo, ninguno presentó nódulos pulmonares cavitados. Al ser una de las causas menos frecuentes es posible encontrar trastornos autoinmunes que son sugeridos por historia de enfermedad del tejido conectivo, expresada por artralgias, mialgias y resultados positivos de pruebas serológicas que se pueden hallar en resultados de laboratorios clínicos (33). En el espectro diagnóstico se debe incluir la granulomatosis con poliangeítis (GPA), puesto que se trata de una enfermedad autoinmune que ocasiona vasculitis de pequeño vaso, mediada por anticuerpos contra citoplasma de neutrófilos (ANCAs), afectando principalmente el tracto respiratorio superior e inferior y los riñones (34); La presencia de nódulo pulmonar cavitado per sedebería despertar sospechas, ya que se pueden encontrar entre 26 % y 49 %; Cordier et al. (34), describieron las características de 77 pacientes con GPA, encontrando nódulos pulmonares en el 69 % (53 pacientes), de los cuales presentaban cavitaciones el 49 % (26 pacientes) (35); Martínez et al. (36), analizaron a 30 pacientes con GPA, encontrando nódulo pulmonar cavitado en el 26 % (8 pacientes), las paredes de las cavitaciones pueden ser lisas y delgadas o irregulares y gruesas, tales características se observan comúnmente en nódulos con tamaño mayor de 2 cm y su distribución suele ser aleatoria. De igual manera, es posible encontrar otras patologías asociadas a alteraciones inmunológicas, tales como el síndrome de Caplan, que consiste en una fibrosis granulomatosa obliterante, rápidamente progresiva, que se desarrolla como una complicación en pacientes con AR por exposición al carbón, sílice o asbesto; es decir, que actúan de forma sinérgica para desarrollarl el síndrome; entre las características histopatológicas, el hallazgo más llamativo es la presencia de innumerables nódulos con diametro entre 0,2 y 0,8 cm, y área central a veces cavitada (37).

Otras enfermedades de carácter autoinmune que pueden cursar con nódulo pulmonar cavitado está la Sarcoidosis, en la que está presente en un 10 % en estadios avanzados de la enfermedad, pero solo alcanza menos del 0,8 % como forma de presentación (38). Otras causas infrecuentes son la granulomatosis eosinofílica con poliangeítis, la espondilitis anquilosante primaria, la amiloidosis pulmonar y el lupus eritematoso sistémico (39, 40).

Las noplasias son infrecuentes causas de nódulos pulmonares cavitados; en el carcinoma pulmonar primario las cavitaciones se detectan en el 11 % de las Rx de tórax y hasta el 22 % en TC (41). Según los tipos histológicos, el carcinoma de células escamosas es el más frecuente, ocasionando enfermedad cavitaria entre 69 y 81 % de los casos (42). El linfoma primario de pulmón puede presentar cavitaciones en un 41 % según lo reportado por Ray et al (42), en una serie de casos que incluyó 12 pacientes con infección por VIH y linfoma pulmonar primario. Otras posibles etiologías neoplásicas de los nódulos cavitados pulmonares son las metástasis; en estos casos las cavitaciones se detectan en la radiografía de tórax en un 4 % de los casos (42); el origen metastásico mas frecuenteson las lesiones ocasionadas por el carcinoma de células escamosas, aunque también se pueden hallar en primarios del tracto gastrointestinal, cabeza, cuello y piel (42). Los adenocarcinomas, los carcinomas de células grandes y los carcinomas de células pequeñas, tienen baja probabilidad de presentar cavitaciones.

Conclusión

El enfoque de un nódulo pulmonar cavitado depende, en gran medida, de su tamaño, su ubicación y de ciertas características radiológicas, así como de la presencia de factores de riesgo de enfermedades pulmonares. Es importante realizar un diagnóstico temprano para identificar cualquier anomalía y comenzar un tratamiento adecuado, En general, los nódulos pulmonares cavitados se pueden clasificar en agudos y crónicos, y se requiere una evaluación cuidadosa para determinar su naturaleza. Las infecciones, o un proceso inflamatorio pueden causar nódulos agudos, mientras que el cáncer de pulmón y otras enfermedades de etiología autoinmune pueden estar asociados con nódulos cavitados crónicos En conclusión, el enfoque de un nódulo pulmonar cavitado requiere una evaluación completa y cuidadosa de la causa subyacente. Es importante seguir los protocolos médicos establecidos para asegurar un diagnóstico temprano y un tratamiento adecuado.

Declaración de conflicto de intereses

Los autores declaran no tener ningún conflicto de interés.


Referencias

  • 1. Hansell DM, Bankier AA, MacMahon H, McLoud TC, Müller NL, Remy J. Fleischner Society: glossary of terms for thoracic imaging. Radiology. 2008;246(3):697‐722. doi:10.1148/radiol.2462070712.
  • 2. Gafoor K, Patel S, Girvin F, Gupta N, Naidich D, Machnicki S, Brown KK, Mehta A, Husta B, Ryu JH, Sarosi GA, Franquet T, Verschakelen J, Johkoh T, Travis W, Raoof S. Cavitary Lung Diseases: A Clinical-Radiologic Algorithmic Approach. Chest. 2018;153(6):1443‐1465. Doi: 10.1016/j.chest.2018.02.026.
  • 3. Gadkowski LB, Stout JE. Cavitary pulmonary disease. Clin Microbiol Rev. 2008;21(2):305‐333. Doi:10.1128/CMR.00060-07.
  • 4. Robbins AW, Arora NS. Pulmonary cavitation caused by Haemophilus influenzae in adults. South Med J. 1981;74(2):225‐227. Doi:10.1097/00007611-198102000-00025.
  • 5. Yangco BG, Deresinski SC. Necrotizing or cavitating pneumonia due to Streptococcus Pneumoniae: report of four cases and review of the literature. Medicine (Baltimore). 1980;59(6):449‐457. Doi:10.1097/00005792-198011000-00005.
  • 6. Carpenter JL. Klebsiella pulmonary infections: occurrence at one medical center and review. Rev Infect Dis. 1990;12(4):672‐682. Doi:10.1093/clinids/12.4.672.
  • 7. Paganin F, Lilienthal F, Bourdin A, Lugagne N, Tixier F, Génin R, Yvin J-L. . Severe community-acquired pneumonia: assessment of microbial aetiology as mortality factor. Eur Respir J. 2004;24(5):779‐785. Doi:10.1183/09031936.04.00119503.
  • 8. Penner C, Maycher B, Long R. Pulmonary gangrene. A complication of bacterial pneumonia. Chest. 1994;105(2):567‐573. Doi:10.1378/chest.105.2.567.
  • 9. Danner PK, McFarland DR, Felson B. Massive pulmonary gangrene. Am J Roentgenol Radium Ther Nucl Med. 1968;103(3):548‐554. Doi:10.2214/ajr.103.3.548.
  • 10. Macfarlane J, Rose D. Radiographic features of staphylococcal pneumonia in adults and children. Thorax. 1996;51(5):539‐540. Doi:10.1136/thx.51.5.539.
  • 11. Cook RJ, Ashton RW, Aughenbaugh GL, Ryu JH. Septic pulmonary embolism: presenting features and clinical course of 14 patients. Chest. 2005;128(1):162‐166. Doi:10.1378/chest.128.1.162.
  • 12. Huang RM, Naidich DP, Lubat E, Schinella R, Garay SM, McCauley DI. Septic pulmonary emboli:CT-radiographic correlation. AJR Am J Roentgenol. 1989;153(1):41‐45. Doi:10.2214/ajr.153.1.41.
  • 13. Mabeza GF, Macfarlane J. Pulmonary actinomycosis. Eur Respir J. 2003;21(3):545‐551. Doi:101183/09031936.03.00089103
  • 14. Bennhoff DF. Actinomycosis: diagnostic and therapeutic considerations and a review of 32 cases. Laryngoscope. 1984;94(9):1198‐1217. Doi:10.1288/00005537-198409000-00013.
  • 15. Inglis TJ, Rolim DB, Sousa Ade Q. Melioidosis in the Americas. Am J Trop Med Hyg. 2006;75(5):947‐954.
  • 16. Mukhopadhyay A, Lee KH, Tambyah PA. Bacteraemic melioidosis pneumonia: impact on outcome, clinical and radiological features. J Infect. 2004;48(4):334‐338. Doi:10.1016/j.jinf.2003.10.005.
  • 17. Patel S, Parsyan AE, Gunn J, Barry MA, Reed C, Sharnprapai S, Horsburgh CR Jr. Risk of progression to active tuberculosis among foreign-born persons with latent tuberculosis. Chest. 2007;131(6):1811‐1816. doi:10.1378/chest.06-2601.
  • 18. Instituto Nacional de Salud. Informe de evento de tuberculosis. Colombia, 2016, Disponible en http://www.ins.gov.co/lineas-de-accion/Subdireccion-Vigilancia/Paginas/informes-de-evento.aspx.
  • 19. Miller WT, MacGregor RR. Tuberculosis: frequency of unusual radiographic findings. AJR Am J Roentgenol. 1978;130(5):867‐875. doi:10.2214/ajr.130.5.867.
  • 20. Im JG, Itoh H, Shim YS, Lee JH, Ahn J, Han MC, Noma S. Pulmonary tuberculosis: CT findings--early active disease and sequential change with antituberculous therapy. Radiology. 1993;186(3):653‐660. doi:10.1148/radiology.186.3.8430169.
  • 21. Soubani AO, Chandrasekar PH. The clinical spectrum of pulmonary aspergillosis. Chest. 2002;121(6):1988‐1999. doi:10.1378/chest.121.6.1988.
  • 22. Perfect JR, Cox GM, Lee JY, Kauffman CA, de Repentigny L, Chapman SW, Morrison VA, Pappas P, Hiemenz JW, Stevens DA. The impact of culture isolation of Aspergillus species: a hospital-based survey of aspergillosis. Clin Infect Dis. 2001;33(11):1824‐1833. doi:10.1086/323900.
  • 23. Aquino SL, Kee ST, Warnock ML, Gamsu G. Pulmonary aspergillosis: imaging findings with pathologic correlation. AJR Am J Roentgenol. 1994;163(4):811‐815. doi:10.2214/ajr.163.4.8092014.
  • 24. Denning DW, Riniotis K, Dobrashian R, Sambatakou H. Chronic cavitary and fibrosing pulmonary and pleural aspergillosis: case series, proposed nomenclature change, and review. Clin Infect Dis. 2003;37 Suppl 3:S265‐S280. doi:10.1086/376526.
  • 25. Gascón J, Torres JM, Jiménez M, Mejias T, Triviño L, Gobbi F, Quintó L, Puig J, Corachan M. Histoplasmosis infection in Spanish travelers to Latin America. Eur J Clin Microbiol Infect Dis. 2005;24(12):839‐841. doi:10.1007/s10096-005-0050-6.
  • 26. Wheat LJ, Slama TG, Eitzen HE, Kohler RB, French ML, Biesecker JL. A large urban outbreak of histoplasmosis: clinical features. Ann Intern Med. 1981;94(3):331‐337. doi:10.7326/0003-4819-94-3-331
  • 27. Connell JV, Muhm JR. Radiographic manifestations of pulmonary histoplasmosis: a 10-year review. Radiology. 1976;121(2):281‐285. doi:10.1148/121.2.281.
  • 28. Perfect JR, Durack DT, Gallis HA. Cryptococcemia. Medicine (Baltimore). 1983;62(2):98‐109. doi:10.1097/00005792-198303000-00003.
  • 29. León-Sierra LP, Cajas J, Torres-Saavedra F. Nódulo pulmonar cavitado en artritis reumatoide: reporte de un caso. Rev Colomb Reumatol. 2018;25(2): 146–148. https://doi.org/10.1016/j.rcreu.2017.07.003.
  • 30. Yunt ZX, Solomon JJ. Lung disease in rheumatoid arthritis. Rheum Dis Clin North Am. 2015;41(2):225‐236. doi:10.1016/j.rdc.2014.12.004.
  • 31. Dawson JK, Fewins HE, Desmond J, Lynch MP, Graham DR. Fibrosing alveolitis in patients with rheumatoid arthritis as assessed by high resolution computed tomography, chest radiography, and pulmonary function tests. Thorax. 2001;56(8):622‐627. doi:10.1136/thorax.56.8.622.
  • 32. Tanaka N, Kim JS, Newell JD, Brown KK, Cool CD, Meehan R, Emoto T, Matsumoto T, Lynch DA. Rheumatoid arthritis-related lung diseases: CT findings. Radiology. 2004;232(1):81‐91. doi:10.1148/radiol.2321030174.
  • 33. Caplan A. Certain unusual radiological appearances in the chest of coal-miners suffering from rheumatoid arthritis. Thorax. 1953;8(1):29‐37. doi:10.1136/thx.8.1.29.
  • 34. Cordier JF, Valeyre D, Guillevin L, Loire R, Brechot JM. Pulmonary Wegener’s granulomatosis. A clinical and imaging study of 77 cases. Chest. 1990;97(4):906‐912. doi:10.1378/chest.97.4.906.
  • 35. Furuiye M, Yoshimura N, Kobayashi A, Tamaoka M, Miyazaki Y, Ohtani Y, Miyake S, Inase N, Yoshizawa Y. Churg-Strauss syndrome versus chronic eosinophilic pneumonia on high-resolution computed tomographic findings. J Comput Assist Tomogr. 2010;34(1):19‐22. doi:10.1097/RCT.0b013e3181ae2949.
  • 36. Martínez F, Chung JH, Digumarthy SR, Kanne JP, Abbott GF, Shepard JA, Mark EJ, Sharma A. Common and uncommon manifestations of Wegener granulomatosis at chest CT: radiologicpathologic correlation. Radiographics. 2012;32(1):51‐69. doi:10.1148/rg.321115060.
  • 37. Maskell GF, Lockwood CM, Flower CD. Computed tomography of the lung in Wegener’s granulomatosis. Clin Radiol. 1993;48(6):377‐380. doi:10.1016/s0009-9260(05)81104-3.
  • 38. Parkar AP, Kandiah P. Differential Diagnosis of Cavitary Lung Lesions. J Belg Soc Radiol. 2016;100(1):100. Published 2016 Nov 19. doi:10.5334/jbr-btr.1202.
  • 39. Feragalli B, Mantini C, Sperandeo M, Galluzzo M, Belcaro G, Tartaro A, Cotroneo AR .The lung in systemic vasculitis: radiological patterns and differential diagnosis. Br J Radiol. 2016;89(1061):20150992. doi:10.1259/bjr.20150992
  • 40. Erlij D, Michalland S, Neira O, Wolff V, Jara V, Meneses M. Diagnóstico diferencial de nódulos pulmonares cavitados: a propósito de un caso clínico. Rev. chil. enferm. respir. [Internet]. 2013 Mar [citado 2020 Mayo 20] ; 29( 1 ): 39-42.
  • 41. Gil AB, López MR, Cartón P, Santos P. Primary Cavitary Sarcoidosis, an Extremely Rare Form of Presentation. Sarcoidosis cavitaria primaria, una forma extremadamente rara de presentación. Arch Bronconeumol. 2018;54(9):483‐484. doi:10.1016/j.arbres.2018.01.017.
  • 42. Ray P, Antoine M, Mary-Krause M, Lebrette MG, Wislez M, Duvivier C, Meyohas MC, Girard PM, Mayaud C, Cadranel J. AIDS-related primary pulmonary lymphoma. Am J Respir Crit Care Med. 1998;158(4):1221‐1229. doi:10.1164/ajrccm.158.4.980105.